Logo O POVO+
Diagnóstico e o impacto na vida do paciente
Ciência e Saúde

Diagnóstico e o impacto na vida do paciente

| LEUCEMIA | Pacientes com leucemias, seja aguda ou crônica, ainda enfrentam dificuldade no diagnóstico e no acesso ao tratamento
Edição Impressa
Tipo Notícia Por
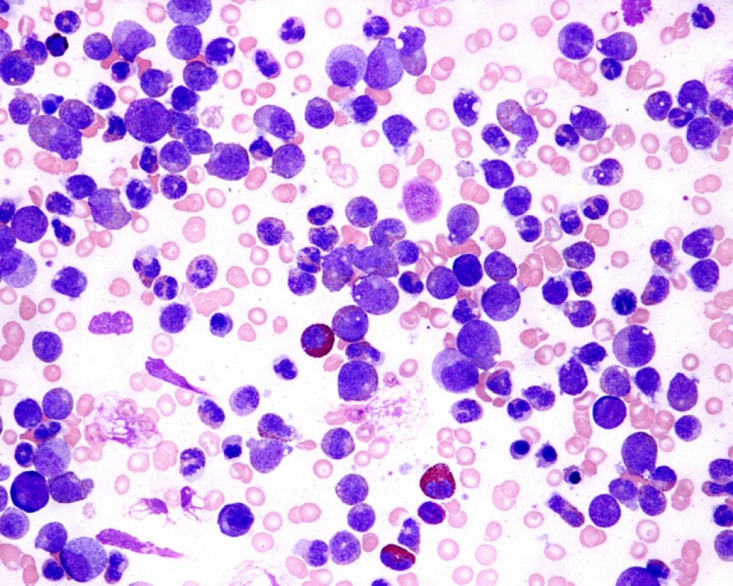
LEUCEMIAS são cânceres que acometem as células sanguíneas (Foto: Getty Images/JOSE LUIS CALVO MARTIN & JOSE ENRIQUE GARCIA-MAURIÑO MUZQUIZ)
Foto: Getty Images/JOSE LUIS CALVO MARTIN & JOSE ENRIQUE GARCIA-MAURIÑO MUZQUIZ LEUCEMIAS são cânceres que acometem as células sanguíneas

Diagnóstico precoce e acesso rápido aos centros de referência para tratamento de leucemias ainda são desafios. É como a responsável pela área de Apoio ao Paciente na Associação Brasileira de Linfoma e Leucemia (Abrale), Melissa Pereira, entende o cenário da doença que hoje, no Brasil é o nono câncer mais comum entre os homens e o 11º entre as mulheres. Caracterizadas por serem cânceres que acometem as células sanguíneas, as leucemias se subdividem em crônicas ou agudas , a depender da rapidez com que evoluem. "Em casos de leucemias agudas, o tempo de conseguir diagnóstico e iniciar um tratamento pode ser a diferença entre conseguir ter um prognóstico positivo ou vir a óbito", comenta.

De acordo com estimativas do Instituto Nacional do Câncer (Inca), as leucemias devem atingir 5.940 casos novos em homens e 4.860 em mulheres para cada ano do biênio 2018 e 2019. Entre 2012 e 2016, as leucemias levaram a óbito 25.241 pessoas no País. O grupo que mais morreu foi o de Leucemia Mielóide Aguda (LMA), que corresponde a 47,3% das mortes.

"Nosso grande problema é navegar pelo Sistema Único de Saúde (SUS), conseguir ter acesso a um centro de referência, ter o diagnóstico confirmado e ser encaminhado para o local correto. O que a gente ainda percebe é que os pacientes ficam rodando no sistema sem um direcionamento. Temos dificuldade no básico: o acesso ao um mielograma, ou uma biópsia", comenta. No Ceará, o Hospital Infantil Albert Sabin, nos casos de câncer infanto-juvenil, e o Instituto do Câncer do Ceará (ICC) são os principais centros de referência.

Participantes de uma reunião no último mês em São Paulo para discutir avanços no tratamento de leucemias no País, a representante da Abrale e o oncohematologista Evandro Maranhão Fagundes, coordenador de transplante de células tronco do Hospital das Clínicas da Universidade Federal de Minas Gerais (UFMG), convergem quanto às adversidades ainda encontradas pelos pacientes.

"Um diagnóstico precoce em caso de câncer de mama, por exemplo, impacta na vida da pessoa, claro, no tempo de vida e na resposta ao tratamento lá na frente, anos depois. Na LMA, a falta do diagnóstico precoce impacta na vida imediatamente. Não são meses depois, é no ato. O paciente que chega com a doença muito avançada dificilmente vai conseguir sair dessa situação", lamenta. Sem tratamento, a estimativa do médico é de que, do início dos sintomas até a morte do paciente, se passem, em média, apenas dois meses.

Fagundes pondera que há situações de excelência no SUS, e propõe que a melhoria do acesso deva passar "por políticas públicas que fomentem a educação continuada dos profissionais de saúde que possam identificar ainda na atenção básica as possibilidades de suspeita maior e repassem adequadamente para o centro de referência".

As principais manifestações da doença estão relacionadas com o sangue, por isso são comuns anemia, baixa de plaquetas, manifestações hemorrágicas, manchas roxas no corpo, diminuição dos glóbulos brancos normais (mesmo com o aumento dos glóbulos brancos leucémicos), e abertura para infecções.

* A repórter viajou a convite da Novartis

O que você achou desse conteúdo?